What is pityriasis rosea?
- Pityriasis rosea is a kind of “skin flu”. It might also be caused by a virus.
- It is more common in young adults.
- It tends to have seasonal peaks.
What does it look like?
- It is characterized clinically:
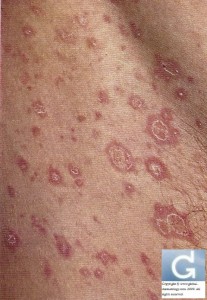
- initially, it presents as a red circular lesion with a peripheral collarette of scaling. It is called the “herald” patch. The lesion can be located anywhere, but more often it is located on the chest, upper arms and the legs.
- after, smaller lesions appear on the whole body except the face (in its typical presentation). The lesions on the back give rise to a “Christmas Tree” pattern.
- The lesions are sometimes itchy, but most of the time they do not cause any symptoms.
Do other skin conditions look like pityriasis rosea?
- Because pityriasis rosea in its atypical presentation can sometimes look like secondary stage syphilis, blood tests are then needed to exclude it.
Does pityriasis rosea need to be treated?
- The condition heals on its own after around three months. To predict its disappearance, it is easier to remember the rule of the three 4’s:
- during 4 weeks, the lesions keep appearing (appearing phase)
- during 4 weeks, the number of lesions appearing is equal to the lesions disappearing (stabilisation phase)
- during 4 weeks the number of lesions goes down (regression phase)
- In case of itching, the dermatologist may prescribe a steroid cream or a treatment with light (phototherapy).
Source of information: here




+41 22 738 18 48